Open Heart Surgery: February 2016
Despite years of conscious adherence to “Mediterranean / “Heart Healthy” diet regimes, regular cardio and resistence training, etc, in February of 2016 my Cardiology Team uncovered 3 heart-related issues requiring immediate intervention:
- a severely stenotic aortic valve, requiring timely replacement (AVR)
- three blocked coronary arteries each requiring a bypass graft to route blood past the blockages (CABGx3)
- an aortic aneurism (a bulge in a section of the aorta, the body’s main artery), requiring immediate attention.
Considering my recent asthma diagnosis, and explaining that heart disease can present similar symptoms as asthma, my cardiologist, Dr. Downes, prescribed an echocardiogram on January 18, to determine if the condition of my “moderately” stenotic heart valve had changed. The test revealed that my aortic stenosis, has progressed to “severe”, indicating that the valve was not allowing sufficient blood to flow to my arteries.
#1 AVR: Aortic Valve Replacement
Aortic valve stenosis — or aortic stenosis — occurs when the heart’s aortic valve narrows. This narrowing prevents the valve from opening fully, which obstructs blood flow from your heart into your aorta and onward to the rest of your body. When the aortic valve is obstructed, your heart needs to work harder to pump blood to your body. Eventually, this extra work limits the amount of blood it can pump and may weaken your heart muscle. If you have severe aortic valve stenosis, you’ll usually need surgery to replace the valve. Left untreated, aortic valve stenosis can lead to serious heart problems.


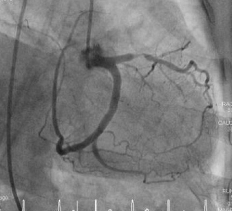
As a routine preparation for a valve replacement, Dr Downes performed an angiogram (or cardiac catheterization), a medical procedure used to determine if there are coronary blockages, which would be addressed also, during the open heart surgery. Neither he nor I really expected to find anything amiss, but we were mistaken…….

February 24: Cardiac Catheterization: A long, thin, flexible tube called a catheter is put into a blood vessel in your arm and threaded to the heart. A special type of dye is inserted in the catheter, which flows through the bloodstream to the heart. Then, Dr Downes took x-rays of the arteries and the heart. This test can show whether plaque has built up inside the coronary arteries, which can narrow or block the arteries and restrict blood flow to your heart.

#2 Three Blocked coronary arteries (Feb 24th)
Dr. Downes found two arteries 90% blocked (Left Anterior descending and Right Coronary Arteries), and one 60% blocked (Oblique Marginal Artery, a branch of the Left Coronary Artery), requiring a triple coronary bypass (Coronary Artery Bypass Graft or CABGx3) which will be performed during the open heart surgery to also replace my aortic heart valve.



After a discussion of available surgeons vs my preferences, Dr Downes recommended Dr. Douthit, a very experienced and personable cardiac surgeon. While meeting with Dr. Douthit, he clarified available valve replacement options – mechanical or tissue:

Dr Mark Douthit, Cardiac Surgeon
Tissue heart valves are usually made from animal tissue, either animal heart valve tissue or animal pericardial tissue. The tissue is treated to prevent rejection and calcification. Tissue valves tend to wear out faster, but typically last around 18 years. When a tissue valve wears out and needs replacement, the person must undergo another valve replacement surgery. Dr Douthit says if necessary, he can replace a tissue valve using transcatheter aortic valve replacement (TAVR) without the need for another open heart surgery.
Mechanical valves are designed to outlast the patient, and have typically been stress-tested to last several hundred years. Although mechanical valves are long-lasting and generally present a one-surgery solution, there is an increased risk of blood clots forming with mechanical valves. As a result, mechanical valve recipients must take anticoagulant (blood thinning) drugs such as warfarin for the rest of their lives, making the patient more prone to bleeding.
Given my active lifestyle and frequent “solo” outings (elk hunting, fishing, cabin work with power tools, solo motorcycle rides), Dr Douthit feels blood thinning drugs present a significant risk, outweighing the advantages of the longer-lasting mechanical valve, so we decided to replace my valve with a valve created from the pericardium of cow (bovine valve). Further, he and his team described the procedure itself in detail…
Aortic valve replacement is most frequently done through a median sternotomy, meaning the incision is made by cutting through the sternum. Once the pericardium has been opened, the patient is put on a cardiopulmonary bypass machine, also known as the heart-lung machine. This machine takes over the task of breathing for the patient and pumping their blood around while the surgeon replaces the heart valve. Once the patient is on bypass, a cut is made in the aorta and a crossclamp applied. The surgeon then removes the patient’s diseased aortic valve and a mechanical or tissue valve is put in its place.
Then, during coronary bypass surgery, a healthy blood vessel is taken from your leg and chest and connected to the other arteries in your heart so that blood bypasses the diseased or blocked area. Creating a new pathway to the heart, coronary bypass surgery improves blood flow to your heart muscle.
Once the valve is replaced and the clogged arteries are bypassed, the sternum is wired closed and the incision glued shut. Recovery is slow and typically takes 2-3 months, but my activity level should return to normal after recovery.
Surgery Feb 29th



#3 Aortic Aneurysm
After opening my chest cavity, additionally, Dr. Douthit found an “aortic aneurism” which is a bulge in a section of the aorta, the body’s main artery. The aorta carries oxygen-rich blood from the heart to the rest of the body. Because the section with the aneurysm is overstretched and weak, it can burst. If the aorta bursts, it can cause serious bleeding that can quickly lead to death. My aneurysm formed in the upper body and is termed a “descending thoracic aortic aneurysm”, in case you are interested……

Dr. Douthit performed an ascending aortic aneurysectomy and repair with a 28 mm Hemashield tube graft.

Wonderful nursing care, upbeat visits by Doctors and Surgeons, excellent medical attention. I couldn’t ask for better.


Back Home March 9th
After 10 days of excellent ICU/ Cardiac care, I was released on my own recognizance to the care of my lovely wife Sally.
Back home in my favorite chair, started walking about a mile per day….